Skip to Content Facebook Feature Image

GE HealthCare Announces First Patient Dosed in Phase 2/3 LUMINA Trial for Manganese-Based MRI Contrast Agent Under FDA Fast Track Designation, Further Advancing Its Innovation Pipeline of Novel Imaging Agents

Business

GE HealthCare Announces First Patient Dosed in Phase 2/3 LUMINA Trial for Manganese-Based MRI Contrast Agent Under FDA Fast Track Designation, Further Advancing Its Innovation Pipeline of Novel Imaging Agents
Business

Business

GE HealthCare Announces First Patient Dosed in Phase 2/3 LUMINA Trial for Manganese-Based MRI Contrast Agent Under FDA Fast Track Designation, Further Advancing Its Innovation Pipeline of Novel Imaging Agents

2026-04-23 19:30 Last Updated At:19:51

CHALFONT ST GILES, England--(BUSINESS WIRE)--Apr 23, 2026--

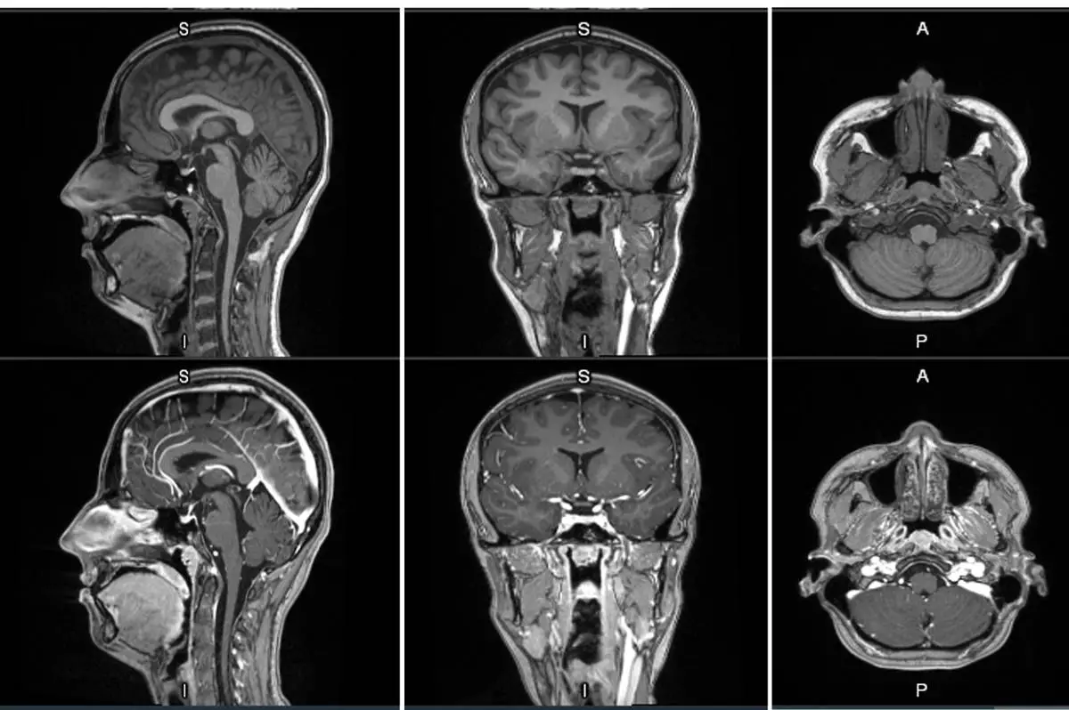
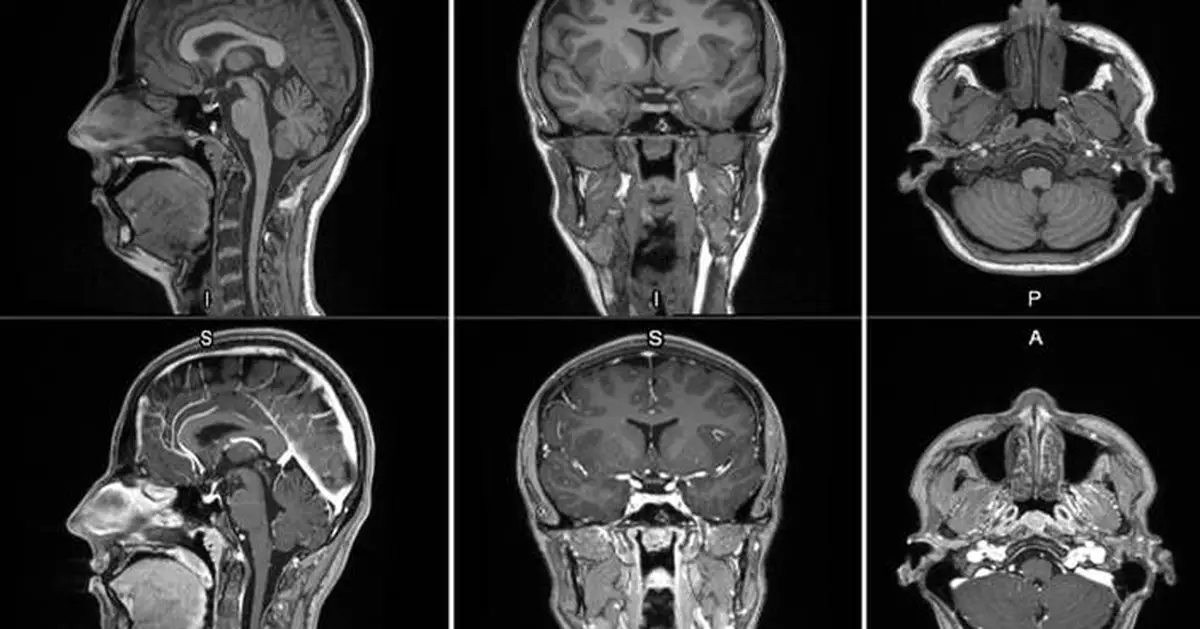
GE HealthCare (Nasdaq: GEHC) today announced the first patient has been dosed in the international, multi-center Phase 2/3 LUMINA clinical trial of its manganese-based magnetic resonance imaging (MRI) contrast agent, mangaciclanol, at Mayo Clinic in Rochester, Minnesota. Mangaciclanol, if approved, could offer an alternative to – or even replace – gadolinium-based MRI contrast agents, the current standard of care. The investigational agent has been granted Fast Track designation by the U.S. Food and Drug Administration (FDA) for use in adults and pediatric patients aged 2 years and older with MRI to detect and visualize lesions with abnormal vascularity in the central nervous system and the body. FDA Fast Track designation expedites the review of new therapeutics and medical imaging agents that have the potential to address significant unmet patient needs.

This press release features multimedia. View the full release here: https://www.businesswire.com/news/home/20260423262096/en/

MRI contrast agents enhance the visualization of abnormal structures or lesions during imaging procedures and help clinicians better distinguish between healthy and diseased tissue. Mangaciclanol is intended for general-purpose MR imaging and demonstrates comparable relaxivity (the ability to enhance signal intensity) to market-leading gadolinium-based agent, gadobutrol, with early clinical images suggesting similar diagnostic capability. Unlike gadolinium, which is a rare-earth metal, manganese is present in our food, and is an endogenous element, naturally occurring and autoregulated in the body. The macrocyclic ‘cage-like’ structure of mangaciclanol lessens the possibility of retention.

Approximately one-third of global MRI procedures require a contrast agent for effective diagnosis, 1 with around 65 million gadolinium contrast enhanced procedures globally each year. 2 As a rare-earth element, gadolinium supply is largely dependent on mining and processing infrastructure in China. Manganese, however, is abundantly available from multiple countries, including South Africa, Australia and Gabon, reducing the risk of supply challenges impacting patient care. Furthermore, as manganese is naturally found in water sources, mangaciclanol could also reduce environmental concerns associated with post-patient excreted contrast media in groundwater.

Dr Jit Saini, Chief Medical Officer, Pharmacutical Diagnostics, GE HealthCare, said, “Existing gadolinium-based contrast agents carry safety language associated with gadolinium retention. In comparison, mangaciclanol could offer an alternative for broad patient groups, including vulnerable patients and those requiring multiple scans, while still offering similar diagnostic performance. The FDA Fast Track designation recognizes the potential significance of mangaciclanol and aligns with our focus on advancing its development for patients.”

“As demand for diagnostic imaging continues to rise, we continue to advance our imaging agent pipeline to better meet the needs of patients,” said Peter Arduini, President and CEO, GE HealthCare. “This clinical milestone builds on GE HealthCare’s leadership in contrast media, as mangaciclanol has the potential to transform the MR imaging market and strengthen the resiliency of its supply chain.”

Phase 1 results for mangaciclanol showed the investigational agent was well tolerated in a first in human trial with no serious adverse events, no dose limiting toxicities, nor clinically relevant findings reported.

GE HealthCare’s Pharmaceutical Diagnostics unit is a global leader in imaging agents used to support 140 million patient procedures per year globally, equivalent to four procedures every second. For more than 40 years, GE HealthCare contrast media has been routinely used across MRI, X-ray/CT and ultrasound to enhance clinical images and support diagnosis.

Mangaciclanol is in clinical development and currently not approved for use.

About GE HealthCare Technologies Inc.

GE HealthCare is a leading global healthcare solutions provider of advanced medical technology, pharmaceutical diagnostics, and AI, cloud and software solutions that help clinicians tackle the world’s most complex diseases. Serving patients and providers for 130 years, GE HealthCare is delivering bold innovations designed for the next era of medicine across its Imaging, Advanced Visualization Solutions, Patient Care Solutions, and Pharmaceutical Diagnostics segments to help clinicians deliver more personalized, precise patient care. We are a $20.6 billion business with approximately 54,000 colleagues working to create a world where healthcare has no limits.

GE HealthCare is proud to be among 2026 Fortune World’s Most Admired Companies™.

Follow us on LinkedIn, Facebook, Instagram, or visit our website for our latest news and perspectives.

1Contrast Agents of Magnetic Resonance Imaging and Future Perspective.Nanomaterials. Available at: https://pmc.ncbi.nlm.nih.gov/articles/PMC10343825/[europepmc.org]
2Recent Developments and Future Perspectives in Magnetic Resonance Imaging and Computed Tomography Contrast Media.Frontiers in Radiology. Available at: https://pmc.ncbi.nlm.nih.gov/articles/PMC12871431/

First-in-human contrast enhanced MRI images with GE HealthCare's mangaciclanol

First-in-human contrast enhanced MRI images with GE HealthCare's mangaciclanol

NEW YORK (AP) — HBO Max, “Harry Potter” and CNN may soon find themselves under a new roof: Paramount.

That's because shareholders of Warner Bros. Discovery on Thursday voted to sell the entire business to the company that owns CBS, along with blockbusters like “Top Gun." Based on a preliminary vote count, Warner shareholders agreed to the proposed $81 billion buyout — valued at nearly $111 billion including debt based on Warner’s current outstanding shares.

While the deal still faces regulatory review, the megamerger would vastly reshape Hollywood and the wider media landscape, further consolidating power in an industry already run by just a handful of major players. Paramount itself was acquired by Skydance just last year.

Here's what a Paramount-Warner combo could look like for streaming, movies, news and more.

Paramount Skydance would own both Paramount+ and, with the sale approved by shareholders Thursday, Warner's HBO Max. Company executives have said that they would combine these streamers into one platform.

What that combined service would look like (or be named) is unclear. But Paramount CEO David Ellison suggested that HBO could still have some level of independence, at least production-wise.

“Our view point is, HBO should stay HBO,” Ellison said during a conference call last month. “They built a phenomenal brand, they are a leader in this space and we just want them to continue doing more of it. But by bringing the platforms together, all of our content will be able to reach even a broader audience than we can do standalone.”

Warner and its HBO streaming platform have a powerful lineup that includes “The Pitt,” “Game of Thrones” and “Sex and the City." And beyond “Harry Potter,” Warner's library lists blockbuster films such as “Sinners,” “Barbie” and "Superman" (the company also owns DC Studios). Titles like “Top Gun," "Titanic,” “The Godfather" and “Yellowstone" fill Paramount's catalog.

In the U.S., according to streaming guide JustWatch, HBO Max controlled about 12% of on-demand subscriptions in the first quarter of this year — compared to 3% for Paramount+. Combining those two services would still fall slightly below Prime Video's 17% market share, and the 19% of the market commanded by Netflix. Disney owns about 27% of the market between Hulu and Disney+.

Beyond HBO Max, Paramount would also acquire Warner’s smaller Discovery+ streamer. And apart from Paramount+, Paramount owns Pluto TV and BET+, too.

Critics are skeptical of consumer benefits touted by Paramount. While company executives have continued to laud larger content libraries and the potential for Paramount to better compete with bigger rivals, a combination with Warner Bros. would mean fewer platform choices when it comes to streaming overall. Critics warn that could actually mean higher prices at a time when the price of almost all subscriptions continues to tick higher.

Paramount and Warner Bros. are two of Hollywood’s oldest studios. A merger would mean fewer companies control legacy film production.

Ellison has said the combined company to grow a slate to more than 30 movies a year, keeping Paramount and Warner Bros. as stand-alone operations. And in a star-studded CinemaCon appearance last week, he promised a 45-day exclusive window for films in theaters, pledging a “complete commitment” to the industry.

Still, others are wary about what further consolidation could mean for jobs and which projects are greenlit down the road. Regulatory filings have indicated that the new ownership will be looking for ways to cut costs — including layoffs and downsizing some overlapping operations. Paramount is taking on billions of dollars in debt to finance the deal.

Warner Bros. just had a banner year of both major blockbusters and critical successes. The studio racked up 30 Oscar nominations thanks to “Sinners,” “Weapons,” and “One Battle After Another” (which took home the top best picture slot). Paramount received zero. And in 2025, Warner Bros. movies — including “A Minecraft Movie,” “Superman” and “Sinners” — accounted for 21% of the domestic box office. Paramount’s market share was only 6%, driven largely by “Mission: Impossible — The Final Reckoning."

The industry has already experienced a sizeable consolidation. Almost 10 years ago, Hollywood’s big six became the big five when Disney bought most of 20th Century Fox. And if the Warner sale goes through, a new “big four” era would be underway — with a bigger Paramount standing alongside Disney, Universal and Sony.

CNN would come under the same roof as Paramount-owned CBS. That would bring together two of America’s biggest names in television news, although whether CNN would continue to operate as a separate brand from CBS has yet to be confirmed.

Regardless, there is a lot of anxiety about Paramount taking control of CNN — a network that has long attracted ire from President Donald Trump and his allies. Critics point to Trump’s close relationship with the Ellison family, particularly billionaire Oracle founder Larry Ellison, who is putting up billions of dollars to back the bid by his son’s company.

Since coming under Skydance ownership less than a year ago, CBS has already seen significant shifts in editorial leadership. It's taken steps to appeal to more conservative viewers in its news operations, notably with the installation of Free Press founder Bari Weiss as editor-in-chief of CBS News. If the company’s proposed Warner takeover is successful, many expect similar changes at CNN.

Some officials in the Trump administration have also made their opinions very clear about CNN's future ownership. In March, the White House attacked CNN for its coverage of the U.S. and Israel's war against Iran — and Secretary of Defense Pete Hegseth told reporters that "the sooner David Ellison takes over that network, the better.”

Ellison has said that editorial independence “will absolutely be maintained” under Paramount ownership. “It’s maintained at CBS. It’ll be maintained at CNN,” Ellison told CNBC's “Squawk on the Street” in March, while noting that his company wants to speak to “the 70%” of viewers who he said identify as center-left or center-right.

The acting head of the U.S. Justice Department's antitrust division has also said that its regulatory review will not be political. Still, critics are skeptical — particularly following Skydance's acquisition of Paramount in August. That merger was approved by the Federal Communications Commission just weeks after the company agreed to pay Trump $16 million to settle a lawsuit over editing at CBS' “60 Minutes” program. The president has continued to publicly lash out at “60 Minutes” programming since.

CNN is just one of the cable operations that Warner is selling. And the proposed merger would make Paramount's TV footprint even bigger.

The company also owns Discovery, TNT, TBS, Food Network, Cartoon Network and Animal Planet, among other networks — all of which would come under Paramount ownership if the deal goes through. Meanwhile, Paramount already has its own sizeable broadcast lineup. Beyond CBS, that includes Nickelodeon, MTV, BET, Comedy Central, Showtime and more.

FILE - Vehicles enter Paramount Pictures in Los Angeles on Dec. 17, 2025. (AP Photo/Jae C. Hong, File)

FILE - Vehicles enter Paramount Pictures in Los Angeles on Dec. 17, 2025. (AP Photo/Jae C. Hong, File)

Recommended Articles