Skip to Content Facebook Feature Image

福建男腹痛求醫遭揭五臟六腑全翻轉 醫生「倒轉解剖」兩小時取膽結石

Plastic

Plastic

Plastic

福建男腹痛求醫遭揭五臟六腑全翻轉 醫生「倒轉解剖」兩小時取膽結石

2026年01月06日 14:30 最後更新:15:11

全球僅百萬分之一!福建一名男子腹痛求醫揭五臟六腑全數翻轉,和一般人左右顛倒,醫生「倒轉解剖」兩小時成功完成高難度取膽石手術。

男子腹痛求醫揭五臟六腑全數反位,醫生「倒轉解剖」兩小時成功完成高難度取膽石手術。影片截圖

男子腹痛求醫揭五臟六腑全數反位,醫生「倒轉解剖」兩小時成功完成高難度取膽石手術。影片截圖

男子腹痛求醫確診「鏡面人」 五臟六腑全數反位

更多相片
男子腹痛求醫揭五臟六腑全數反位,醫生「倒轉解剖」兩小時成功完成高難度取膽石手術。影片截圖

男子腹痛求醫揭五臟六腑全數反位,醫生「倒轉解剖」兩小時成功完成高難度取膽石手術。影片截圖

男子腹痛求醫揭五臟六腑全數反位,醫生「倒轉解剖」兩小時成功完成高難度取膽石手術。影片截圖

男子腹痛求醫揭五臟六腑全數反位,醫生「倒轉解剖」兩小時成功完成高難度取膽石手術。影片截圖

男子腹痛求醫揭五臟六腑全數反位,醫生「倒轉解剖」兩小時成功完成高難度取膽石手術。影片截圖

男子腹痛求醫揭五臟六腑全數反位,醫生「倒轉解剖」兩小時成功完成高難度取膽石手術。影片截圖

男子腹痛求醫揭五臟六腑全數反位,醫生「倒轉解剖」兩小時成功完成高難度取膽石手術。影片截圖

男子腹痛求醫揭五臟六腑全數反位,醫生「倒轉解剖」兩小時成功完成高難度取膽石手術。影片截圖

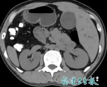
綜合內媒報導,福建發現一宗極為罕見的醫學個案。一名男子陳先生(化名)因出現腹痛及皮膚發黃等症狀求醫,經詳細檢查後被確診為「完全性內臟反位」,即俗稱的「鏡面人」。他的心臟、肝臟及脾臟等五臟六腑位置,與常人完全相反,如同照鏡子般左右顛倒,全球發生率僅約百萬分之一。

男子腹痛求醫揭五臟六腑全數反位,醫生「倒轉解剖」兩小時成功完成高難度取膽石手術。影片截圖

男子腹痛求醫揭五臟六腑全數反位,醫生「倒轉解剖」兩小時成功完成高難度取膽石手術。影片截圖

合併膽總管結石 多院評估風險拒收

另外,陳先生還同時被發現患有膽總管結石,需接受手術治療。由於解剖結構極為特殊,部分醫療機構在評估風險後未敢接收,最終轉診至福建醫科大學吳孟超紀念醫院,由肝膽外科團隊接手。

男子腹痛求醫揭五臟六腑全數反位,醫生「倒轉解剖」兩小時成功完成高難度取膽石手術。影片截圖

男子腹痛求醫揭五臟六腑全數反位,醫生「倒轉解剖」兩小時成功完成高難度取膽石手術。影片截圖

內臟「全數倒轉」 解剖邏輯全面顛覆

醫療團隊指出,陳先生屬於「完全性內臟反位」,除心臟位於右側(右位心)外,腹腔內器官也呈180度鏡像排列。這類患者大多器官功能正常,若無其他先天畸形,日常生活與常人無異。不過,一旦需要接受手術或急救,風險便大幅提升。

主刀醫生:解剖知識須「倒轉用」

主刀醫生、肝膽外科主任李海濤表示,手術最大困難在於「所有解剖知識都要倒過來用」。腹腔鏡畫面中,肝臟在右、膽管在左,器械操作方向也須完全逆向,稍有不慎,便可能誤傷重要血管或器官。

男子腹痛求醫揭五臟六腑全數反位,醫生「倒轉解剖」兩小時成功完成高難度取膽石手術。影片截圖

男子腹痛求醫揭五臟六腑全數反位,醫生「倒轉解剖」兩小時成功完成高難度取膽石手術。影片截圖

「鏡像手術」精準取石 2小時完成高難度操作

為降低風險,團隊在術前進行周密準備,包括3D影像重建、膽道變異預判,以及多學科會診,為患者制定專屬麻醉及手術方案。最終,醫生採用腹腔鏡結合膽道鏡的方式,在「反向視野」下完成取石手術,全程約2小時,出血量不足50毫升,成功避免傳統手術需長期放置引流管的不適。患者術後恢復理想,一周後已康復出院。

醫生籲主動告知病史 避免誤診誤治

醫學界指出,多數「鏡面人」一生未必察覺自身異常,往往在體檢或手術時才被偶然發現。然而,若患者未主動告知醫護人員內臟反位情況,極易造成誤診,例如闌尾炎疼痛可能出現在左下腹,與一般認知相反,急救時或因此延誤治療。李海濤強調:「只要有一線希望,就不能讓患者絕望。」他也表示,這次手術為同類罕見病例提供了重要技術參考,期望未來能建立相關病例資料庫,並將逆向解剖概念納入醫學培訓,以提升整體應對能力。

國外一名男子長期暴飲暴食導致體重逼近254KG健康亮紅燈,後來靠踢足球以及飲食管理,2年成功減去近一半體重。

暴飲暴食成習慣 體重逼近560磅

綜合外媒報道,國外一名26歲自由社交媒體經理費雷拉(George Ferreira)自求學時期起便沉迷外賣及含糖飲品,長年累積的不良飲食習慣導致體重一度飆升至接近560磅(下同,約254KG)。回顧最嚴重的時候,他坦言:「在我最糟的時候,我壓力大就吃,沮喪就吃。我可能是在把自己吃向早逝的墳墓」。

男子體重逼近254KG,靠踢足球兼飲食管理2年減去近一半體重。FB圖片

男子體重逼近254KG,靠踢足球兼飲食管理2年減去近一半體重。FB圖片

健康亮紅燈 拒手術也拒絕減肥針

由於長期暴飲暴食,費雷拉的健康狀況亮起紅燈。家人曾多次勸他尋求醫療協助,醫生也建議進行減重手術,但他害怕在極度肥胖的狀態下接受麻醉,也有人建議注射減肥針,但同樣被他拒絕。他直言,「我想,如果我不幫自己,我可能活不久了」。

男子體重逼近254KG,靠踢足球兼飲食管理2年減去近一半體重。FB圖片

男子體重逼近254KG,靠踢足球兼飲食管理2年減去近一半體重。FB圖片

首日上磅548磅 球場邊忍不住落淚

2023年,費雷拉留意到一個由慈善組織舉辦的足球減重計劃「MANvFAT Football」,惟因害怕直面自身體重問題而遲遲未有行動。直至2024年3月,他終於鼓起勇氣,參加在當地足球會舉辦的活動。首次站上體重計時,顯示體重高達548磅(約249KG),令他在球場邊忍不住落淚,更因體能不足,難以跟上比賽節奏。

男子體重逼近254KG,靠踢足球兼飲食管理2年減去近一半體重。FB圖片

男子體重逼近254KG,靠踢足球兼飲食管理2年減去近一半體重。FB圖片

獲教練隊友鼓勵 2年減近一半體重

在教練及隊友鼓勵下,費雷拉逐步調整心態,配合飲食管理及持續訓練,體重開始穩定下降。不到兩年,費雷拉已經成功減去接近一半體重,如今體重成功減至約294磅(約134KG),且整個過程未有依賴任何減肥針或減肥藥物。

足球聯賽結合減磅 重塑自信與歸屬感

費雷拉回憶,起初加入球隊時壓力極大,甚至單是被納入名單已令他感到恐懼,「一開始真的很害怕,甚至只是被加入球隊就覺得壓力很大。作為一個那麼胖的人,我封閉自己,試著隱藏。但大家都讓我感到被接納。」該足球減重計劃形式別具一格,除了進行6人足球賽外,也設有定期磅重機制,球員的減重幅度會與球隊比賽成績一併計算,最終決定聯賽排名。賽季結束後,成績優秀的隊伍及球員除了獲得表揚外,也會得到營養及健康飲食建議。

男子體重逼近254KG,靠踢足球兼飲食管理2年減去近一半體重。FB圖片

男子體重逼近254KG,靠踢足球兼飲食管理2年減去近一半體重。FB圖片

飲食徹底改變 由暴食到高度自律

減重前,費雷拉的日常飲食極為驚人,早餐為兩份火腿芝士多士配全糖可樂,午餐大量意粉或薯條,晚餐則包括10隻雞翼、3件炸雞及薯條,另再加上軟糖、蛋糕、香腸卷、整桶雪糕及能量飲品等零食。

現時,他改為每日只進食一餐,視乎是否有足球訓練或比賽,選擇於午餐或晚餐進食,餐單以即食高蛋白餐配零卡可樂為主,零食則改為低脂芝士、低脂乳酪及香蕉。他表示,「午餐是我的核心餐,像是雞肉配米飯和豆子、三文魚沙律,或是MyProtein即食餐」。

盼踢足全場圓兒時夢

談及未來目標,費雷拉希望能夠逐步提升體能,最終完成一場90分鐘的正式比賽,並計劃明年參加全國性的「大減重對抗賽」,由南北各選出11名減重成果最顯著的球員,在正式球場上對賽。他形容,這對自己而言不僅是恢復健康的生活方式,更是一次實現「兒時夢想」的機會。

你 或 有 興 趣 的 文 章