Skip to Content Facebook Feature Image

男子在家無事可做 捕獲2隻野生果子狸食用落網

博客文章

男子在家無事可做 捕獲2隻野生果子狸食用落網
博客文章

博客文章

男子在家無事可做 捕獲2隻野生果子狸食用落網

2020年02月15日 16:09

近日,畢節市公安局七星關分局團結派出所就查處一起偷獵並食用野生動物果子狸的違法行為人!

2月8日,團結派出所接到群眾舉報,稱團結鎮青杠村的村民胡某這幾天常帶著捕獵工具,鬼鬼祟祟地在村裡後山遊盪,疑似偷獵野生動物!

疫情當前,竟然還有人頂風作案!派出所民警立即趕到青杠村,經過對已有線索的分析研判和大量走訪調查,終於把胡某堵在家中並將其抓獲,同時收繳到捕獵器和野生動物兩隻。

經審訊,胡某交代其因疫情爆發閑賦在家無事可做,便想用自己做好的捕獵器去山上打點「野味」換個口味。其將捕獵器安裝在後山的樹林中,通過非法手段捕獲了兩隻野生動物果子狸,隨後自行宰殺食用。當民警訓誡其捕殺野生動物屬於違法行為且極易傳染病毒時,胡某表示十分愧疚和後悔。

目前,案件正在進一步辦理中。

警方表示,野生動物生存的環境本身比較複雜,許多疾病的病原體就是在對野生動物進行獵捕、運輸、飼養、宰殺、貯存、加工和食用過程中擴散傳播的,導致發各類傳染病肆虐橫行。

面對疫情,無論是從法律角度、倫理角度、健康角度還是人與自然的和諧相處角度,我們都應該反思:必須杜絕捕食和販賣野生動物!拒絕野味,從你我做起!




神州快訊

** 博客文章文責自負,不代表本公司立場 **

根據國家衛健委數據,截至2月13日24時,據31個省(自治區、直轄市)和新疆生產建設兵團報告,現有確診病例55748例(其中重症病例10204例),累計治癒出院病例6723例(湖北省核減269例),累計死亡病例1380例(湖北省因重複統計,核減108例)。

海外方面,共有24個國家出現新冠肺炎患者,累計確診病例506例,日本和菲律賓分別有1例死亡。

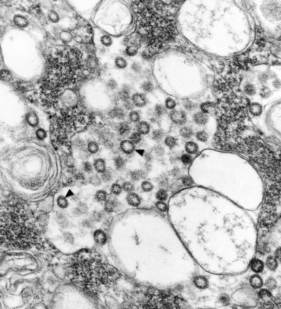
已經波及全球25個國家的新冠病毒究竟長什麼樣?透過科學家們的顯微鏡,可以近距離觀察。

新冠病毒的「百變形象」

子顯微鏡下的圖像,病毒是從武漢的2名患者體內提取的。

系列編號為NPRC 2020.00002的新冠病毒圖像。圖/中國微生物組數據中心

子顯微鏡下的一組圖像。

掃描顯微鏡圖像:橙色的部分就是引發新冠肺炎的冠狀病毒。圖/NIAID-RML

病毒是微小的感染性斑點,由包裹在蛋白質外殼中的DNA或RNA組成。它們太小,無法通過一般的光學顯微鏡看到。NIAID通過掃描電子顯微鏡和透射電子顯微鏡獲取新冠病毒的基本圖像,然後機構中的視覺醫學藝術辦公室再對圖像進行電子化上色。

透射顯微鏡圖像:暗黑色圓形物的為新冠病毒。圖/NIAID-RML

NIAID表示,新冠病毒的圖像看起來和2012年暴發的MERS病毒以及2002年出現的SARS病毒很相似,這並不奇怪,因為這類病毒表面的突起物讓其擁有了「冠狀(corona)」的名稱,是“王冠(crown)”的拉丁文,所以,所有冠狀病毒基本都有這樣的形態特點。

美國疾病控制中心(CDC)則創造出了一個可視化新冠病毒立體模型,結合了新冠病毒在顯微鏡下的形態以及日食的圖像。

CDC創建的新冠病毒立體模型。圖/CDC

香港大學的團隊近日也公佈新冠病毒圖像,港大病理學臨床教授約翰·尼科爾斯(John Nicholls)表示,每一個受感染的細胞都會產生數千個新的傳染性病毒顆粒,這些顆粒會繼續感染新的細胞。

香港大學在推特發佈的新冠病毒圖像。

港大科研人員正在研究不同時間點的樣本,以便更好地了解新冠病毒與其他冠狀病毒的不同之處。

而澳大利亞彼得·多爾蒂傳染病與免疫研究所在社交媒體平台發佈了一段視頻,顯示了新冠病毒在細胞培養實驗中的狀態。

澳大利亞彼得·多爾蒂傳染病與免疫研究所發佈的視頻片段截圖

給致命病毒「畫像」的人

辛西婭·戈德史密斯在美國疾控中心(CDC)工作超過35年,她負責將各種病毒視覺化,協助科研人員的研究工作,而多數病毒都是致命性的。

「我不會去思考疾病本身,只關注病毒的樣子,當我把病毒視覺化之後,總覺得有點對不起感染者。」辛西婭說。

辛西婭·戈德史密斯正在處理病毒圖片。圖/CDC

子顯微鏡、實驗室級微波爐以及幫助將樣本嵌入樹脂的烤箱,她利用黑白兩種顏色創建出病毒的各種視圖。

辛西婭說,病理學家通常會給我一個病毒樣本,然後我通過顯微鏡觀察,可以告訴他們這種病毒屬於哪一科,幫助他們去識別皰疹病毒、痘病毒、正粘病毒等。

2003年,SARS病毒剛剛暴發時,辛西婭從CDC拿到了病毒樣本,「這種病毒的表面缺少細節,看起來是一個普通的球體,通過透射電子顯微鏡的仔細觀察,從形態上可以認定它屬於冠狀病毒」。這一結論幫助CDC的專家迅速展開有針對性的冠狀病毒實驗。

黑色箭頭標註的就是SARS病毒。圖/CDC