係奇蹟~
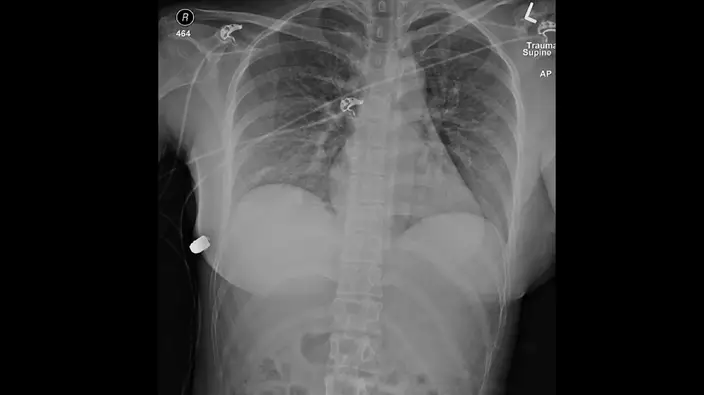
加拿大多倫多一名30歲女子約兩年前因為胸部中彈,如今該案件又重新受到外界關注,根據上周SAGE醫學雜誌發表的案例研究中,該名女子隆胸的矽膠可能讓子彈偏離心臟,成功挽救她的性命,醫生表示,這是第一個納入醫學文獻的個案中因矽膠植入物救回病人性命的案例。
點擊看圖輯
隆胸矽膠讓子彈偏離心臟,成功挽救她的性命。(網上圖片)
隆胸矽膠讓子彈偏離心臟,成功挽救她的性命。(網上圖片)
隆胸矽膠居然有擋子彈的威力。(網上圖片)
事發當時這名女子正在街上行走,突然感覺到左胸發熱、伴隨疼痛感,她一看發現身上有血,於是自行前往急症室尋求幫助,根據外媒報導,子彈從左邊乳房進入,停留在身體右邊;右邊肋骨骨折,左乳植入的矽膠受損,醫生認為子彈從左胸「轉彎」到右胸。
矽膠讓子彈偏離心臟。(網上圖片)
外科醫生麥克維納(Giancarlo McEvenue)表示,當時該女子進入急症室時還在講話,胸部的植入物讓子彈偏離軌道,「左側是心臟和肺部,如果子彈進入胸部,那麼她將遭受更嚴重、甚至危及生命的傷害」。
隆胸矽膠讓子彈偏離心臟,成功挽救她的性命。(網上圖片)
美國合法使用的隆乳植入物有兩種,都是矽膠外層,其中一種是鹽水填充、另一種則是矽膠填充,先前有研究指出,鹽水填充物會減慢子彈速度;而另一項研究則詳細介紹矽膠填充物如何阻止子彈造成的傷害。
隆胸矽膠讓子彈偏離心臟,成功挽救她的性命。(網上圖片)
江蘇一間商場女廁被指未裝隔板如同面對面如廁「零私隱」,工作人員回應指正進行裝修工程,暫未對外開放。
商場女廁被指未裝隔板如同面對面如廁「零私隱」。影片截圖
商場女廁「零私隱」設計引熱議
近日,江蘇常州萬達廣場女廁因「零私隱」設計於網上掀起熱議。一名帖主發文指,該商場三樓女廁空間雖然寬敞,但僅設有一個坐廁及多個蹲廁,惟整個區域完全沒有設置隔板,內部情況一覽無遺,使用者如同「面對面」如廁,情況相當尷尬。
商場女廁被指未裝隔板如同面對面如廁「零私隱」。影片截圖
商場指正進行裝修 女廁暫停使用仍有人進入
消息曝光後,吸引不少女民眾前去「打開」。涉事商場工作人員對此回應指,該女廁目前正進行裝修工程,入口處已張貼暫停使用告示,對於仍有顧客進入感到不解。相關人員表示,預計4月10日完成新隔間安裝後即可重新開放使用。
商場女廁被指未裝隔板如同面對面如廁「零私隱」。影片截圖
網民反應兩極
事件曝光後,引來不少網民調侃,「保潔:夢中情廁,方便打掃」、「要是旁邊的腸胃不好,會不會濺到自己」、「上學時都是這樣,上大學時才有隔斷還沒有門」、「這不是回到二十年前了」。也有網民表示,「人家都沒有裝修好,非要假裝看不見警示」、「這不怪人家商場,自己沒看清楚標識」。
商場女廁被指未裝隔板如同面對面如廁「零私隱」。影片截圖