患者是位退伍軍人。

廣東一名經常健身的男子日前因腹部突然劇痛就醫,原本以為是腸炎,但使用大量止痛藥也無效,醫生進一步發現他左肺的呼吸聲已經聽不到,人也出現休克症狀,斷層掃描發現她的小腸穿越橫隔膜,把左邊的肺頂到幾乎壓扁,緊急進行手術後才保住一命。

更多相片
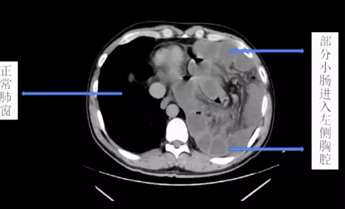
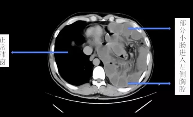
腹腔壓力突然升高或漸升就會造成膈肌破裂,破裂以後小腸就鑽進胸腔近2米。網上截圖

腹腔壓力突然升高或漸升就會造成膈肌破裂,破裂以後小腸就鑽進胸腔近2米。網上截圖

佛山市第二人民醫院胃腸外科主任邱磊。網上截圖

佛山市第二人民醫院胃腸外科主任邱磊。網上截圖

男病人平時喜歡健身,加上經常豪飲,腹腔壓力改變導致橫膈膜破裂。網上截圖

男病人平時喜歡健身,加上經常豪飲,腹腔壓力改變導致橫膈膜破裂。網上截圖

設計圖片

設計圖片

腹腔壓力突然升高或漸升就會造成膈肌破裂,破裂以後小腸就鑽進胸腔近2米。網上截圖

腹腔壓力突然升高或漸升就會造成膈肌破裂,破裂以後小腸就鑽進胸腔近2米。網上截圖

內地傳媒本月15日報道,廣東省順德一名姓張男子是位退伍軍人,平常熱愛健身,也喜歡喝酒,喝醉了就狂吐。男子覺得腹部疼痛,前往附近醫院求診,醫生判斷是腸炎,開了簡單藥物讓他服用。但症狀並未緩解,且越來越嚴重,後來連站立都有困難,家人才將他送往佛山第二人民醫院檢查。

佛山市第二人民醫院胃腸外科主任邱磊。網上截圖

佛山市第二人民醫院胃腸外科主任邱磊。網上截圖

醫院腸胃外科主任邱磊表示:「病患是坐著輪椅來的,腹痛難忍,地方醫院已經替他打了兩隻強力的止痛藥,但疼痛仍無法緩解,到院時已經全身冰涼,雖然神智仍然清楚,但已經出現休克的徵兆,左肺的呼吸聲完全消失」,院方立刻替他進行電腦斷層掃描(CT Scan),「片子顯示左肺已經全都被壓縮扁了,左邊胸腔裡全都是白白的東西」,研判是男子的小腸。

邱磊說,「患者送進手術房時人已經神智不清了,小腸衝進了胸腔後壓迫到左肺,也影響心臟,手術過程中他的心臟一度停止跳動,血壓掉到40多,非常危險」醫療小組緊急將他胸腔內已經開始壞死的小腸切除,並修補橫膈膜的破洞,才撿回一命。

男病人平時喜歡健身,加上經常豪飲,腹腔壓力改變導致橫膈膜破裂。網上截圖

男病人平時喜歡健身,加上經常豪飲,腹腔壓力改變導致橫膈膜破裂。網上截圖

邱磊表示,男子曾罹患結腸癌,當時手術切除掉部分的膈肌(diaphragm),「但修補的部位沒有天生的那麼堅固」,患者經常健身,加上愛喝酒常嘔吐,腹腔壓力變化大,造成膈肌破裂,「長達2米的小腸就從破裂的位置鑽進胸腔」,形成醫學上的「橫膈疝氣」(diaphragmatic hernia,膈疝)。

由於小腸的擠壓,男子左邊的肺已經被頂到嚴重萎縮,小腸堆積充血的結果也導致壞死與內出血,最後經過緊急手術切除,才脫離險境,但原本長約6米的小腸,只剩下約4米。

設計圖片

設計圖片

邱磊提醒,對於發生車禍的患者突然出現左右上腹或胸部疼痛難耐,或是工地外傷、瞬間撞擊、暴飲暴食、喝酒、高強度健身運動後造成的腹痛,臨床上若找不到病因,就要考慮「膈疝」的可能性。