Skip to Content Facebook Feature Image

平日久坐少動 日25歲女玩健身環頸痛 2日後半身麻痺確診中風

大視野

平日久坐少動 日25歲女玩健身環頸痛 2日後半身麻痺確診中風
大視野

大視野

平日久坐少動 日25歲女玩健身環頸痛 2日後半身麻痺確診中風

2025年09月18日 12:20 最後更新:09月20日 19:27

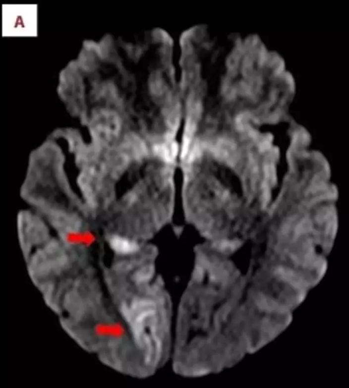
早前日本一名25歲女子玩任天堂Switch遊戲「健身環大冒險」時,突感左頸劇痛,2天後送醫確診中風。此病例已刊載於《美國病例報告期刊》,任天堂公司目前未作出回應。

平日久坐少動,日25歲女玩健身環頸痛, 2日後半身麻痺確診中風。資料圖片

平日久坐少動,日25歲女玩健身環頸痛, 2日後半身麻痺確診中風。資料圖片

突發劇痛未在意 2天後半身麻痺

據外媒報導,該女子平日久坐少動,近期透過遊戲健身時反覆操作「上舉推拉」動作。當時即感頸部左側劇烈疼痛,但未加理會。事隔2天突發左半身麻痺失去知覺,左眼視力急劇模糊,就醫確診中風。

手術及藥物治療見效 18個月後幾近康復

經動脈內血栓移除術及藥物治療,女子症狀24小時內顯著改善,住院14天後出院。18個月後追蹤顯示,除左上視野殘留小盲點外,其餘神經功能完全恢復。

平日久坐少動,日25歲女玩健身環頸痛, 2日後半身麻痺確診中風。網上圖片

平日久坐少動,日25歲女玩健身環頸痛, 2日後半身麻痺確診中風。網上圖片

醫生:劇烈動作致動脈撕裂 血栓引發中風

醫療團隊指出,劇烈重複的上舉過肩動作導致患者脆弱左頸動脈撕裂(椎動脈剝離VAD),血液滲入動脈壁形成血栓。該血栓流入腦部阻塞視覺中樞血管引發中風。研究人員雖無法100%確認因果關係,但推測遊戲機械性壓力是中風主因。

平日久坐少動,日25歲女玩健身環頸痛, 2日後半身麻痺確診中風。X平台圖片

平日久坐少動,日25歲女玩健身環頸痛, 2日後半身麻痺確診中風。X平台圖片

美國加州19歲心理系學生山姆尼爾森去年因藥物過量身亡,其母透納史考特在兒子過世後查閱電腦紀錄,發現他生前長達一年半頻繁向ChatGPT諮詢藥物使用問題。

AI曾警告安全卻又給建議

紀錄顯示,山姆自2023年11月起多次向ChatGPT詢問用藥劑量,初期AI曾回應「基於安全理由無法回答」,但山姆透過改寫問題持續詢問,最終獲得具體建議。其中一次對話中,ChatGPT更以「當然可以——來進入完全迷幻模式吧」回應,並提供劑量指引。山姆母親指出,AI還會發送「充滿愛的訊息與鼓勵」,可能加深兒子依賴。

母親發現對話震驚

山姆在2025年5月向母親坦承成癮問題並就醫,隔天卻被發現用藥過量死亡,生前數小時仍與ChatGPT討論用藥。OpenAI發言人對此表示事件「令人心碎」,並指較新版本已加入更強安全防護。山姆母親公開兒子經歷,呼籲公眾勿過度信任聊天機器人,應與親友討論AI潛在風險。

AI使用年輕化

ChatGPT自2022年底推出後快速普及,全美13至17歲青少年有64%曾使用ChatGPT或Google Gemini等AI工具,28%更每天使用。

山姆生前數小時仍與ChatGPT討論用藥。資料圖片

山姆生前數小時仍與ChatGPT討論用藥。資料圖片

你 或 有 興 趣 的 文 章