Skip to Content Facebook Feature Image

曾捲入衝突捱刀傷 坦桑尼亞男乳頭流膿就醫遭揭胸腔藏利刃8年不自知

Plastic

曾捲入衝突捱刀傷 坦桑尼亞男乳頭流膿就醫遭揭胸腔藏利刃8年不自知
Plastic

Plastic

曾捲入衝突捱刀傷 坦桑尼亞男乳頭流膿就醫遭揭胸腔藏利刃8年不自知

2025年12月02日 17:00 最後更新:17:21

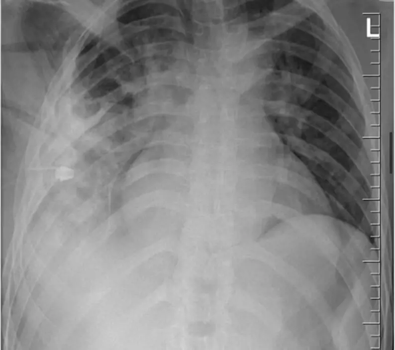
坦桑尼亞一名男子乳頭流膿就醫,照X光揭刀插胸腔長達8年竟不自知,醫生急施手術取出。

男子照X光揭刀插胸腔內長達8年。網上圖片@academic.oup.com

男子照X光揭刀插胸腔內長達8年。網上圖片@academic.oup.com

乳頭流膿求醫 初步檢查無明顯症狀

更多相片
男子照X光揭刀插胸腔內長達8年。網上圖片@academic.oup.com

男子照X光揭刀插胸腔內長達8年。網上圖片@academic.oup.com

男子照X光揭刀插胸腔內長達8年。網上圖片@academic.oup.com

男子照X光揭刀插胸腔內長達8年。網上圖片@academic.oup.com

男子照X光揭刀插胸腔內長達8年。網上圖片@academic.oup.com

男子照X光揭刀插胸腔內長達8年。網上圖片@academic.oup.com

男子照X光揭刀插胸腔內長達8年。網上圖片@academic.oup.com

男子照X光揭刀插胸腔內長達8年。網上圖片@academic.oup.com

綜合外媒報導,非洲坦桑尼亞出現一宗罕見醫療案例,一名44歲男子因右側乳頭附近長期流出惡臭膿液而求醫。醫療團隊檢視後發現,患者右乳頭下方有明顯膿液排出,周邊組織也出現硬化情況,但除相關部位外,整體健康狀況尚屬正常,並無胸痛、呼吸困難或發燒等典型感染症狀。

男子照X光揭刀插胸腔內長達8年。網上圖片@academic.oup.com

男子照X光揭刀插胸腔內長達8年。網上圖片@academic.oup.com

X光揭胸腔藏利刃 至今長達8年

醫生隨後為男子安排X光檢查,結果發現胸腔內竟藏有一件利刃狀金屬異物,自肩胛骨位置刺入,四周被膿液及壞死組織包圍,令醫療團隊大為震驚。在醫生追問下,患者回憶起 8 年前曾捲入一場激烈衝突,當時臉部、背部、胸部及腹部均遭多處刀傷。然而,由於當地醫療資源匱乏,他僅接受表層傷口縫合,並無進行深入檢查,之後多年也未曾出現異常症狀。

男子照X光揭刀插胸腔內長達8年。網上圖片@academic.oup.com

男子照X光揭刀插胸腔內長達8年。網上圖片@academic.oup.com

手術成功取出刀片 醫生警告或會致命

經專科安排,男子立即接受手術移除刀片,術後恢復情況理想,於 10 天後順利出院。醫療團隊表示,「患者身體成功將異物包覆在纖維囊內,限制了發炎和組織損傷」,但乳頭開始流膿已是嚴重併發症前兆。他們強調,這枚殘留刀片原可造成致命風險,並呼籲提升資源不足地區的創傷處理能力及醫療設備,以免類似情況再度發生。目前,相關病例已刊載於《外科病例報告期刊》(JSCR)。

男子照X光揭刀插胸腔內長達8年。網上圖片@academic.oup.com

男子照X光揭刀插胸腔內長達8年。網上圖片@academic.oup.com

山東一名女子貪方便鑽停車場門縫,結果因剛好有車輛駛出觸發捲簾門升起,令她整個人被吊離地面,場面驚險又尷尬。

女子貪方便鑽停車場門縫,因捲簾門突升起被吊離地面。影片截圖

女子貪方便鑽停車場門縫,因捲簾門突升起被吊離地面。影片截圖

貪圖方便鑽門縫 女子遇捲簾門升起帶離地面

近日,山東一名女子疑貪圖一時方便,竟試圖從停車場入口捲簾門下方的縫隙鑽入,結果恰好遇到有車輛準備駛出,捲簾門隨即升起,女子一度被整個帶離地面,所幸最終在工作人員的協助下順利脫困,並無受傷。

女子貪方便鑽停車場門縫,因捲簾門突升起被吊離地面。影片截圖

女子貪方便鑽停車場門縫,因捲簾門突升起被吊離地面。影片截圖

涉事車庫採塑膠捲簾門 底部設排氣口

據悉,涉事車庫門並非一般常見的鐵捲門,而是採用塑膠布材質的捲簾門,疑似為了保持空氣流通而設。捲簾門底部設有一個較大的排氣口,該名女子懷疑正是為了貪方便,才打算從該處縫隙直接進入車庫。

女子貪方便鑽停車場門縫,因捲簾門突升起被吊離地面。影片截圖

女子貪方便鑽停車場門縫,因捲簾門突升起被吊離地面。影片截圖

車輛觸發捲簾門 女子當場懸掛半空

影片可見,女子才剛伸腿踏入,捲簾門感應到有車輛即將駛出,隨即向上升起。女子當場被卡在捲簾門中間,整個人被高高吊起,場面相當驚險。所幸女子並未被夾傷,只是一度懸在半空,場面略顯尷尬。

女子貪方便鑽停車場門縫,因捲簾門突升起被吊離地面。影片截圖

女子貪方便鑽停車場門縫,因捲簾門突升起被吊離地面。影片截圖

網民直呼危險

影片曝光後,網民紛紛留言直呼危險:「實在太危險了!」、「天啊,希望她沒事!」、「大人有時候也不讓人放心啊!」、「這畫面讓人覺得既心酸又好笑。」、「還是人車分道比較安全。」、「想抄近路結果出事了!」、「車道上的駕駛應該當場傻眼了吧!」、「這捲門力量真大!」、「很多事情就是這麼巧合!」

你 或 有 興 趣 的 文 章