Skip to Content Facebook Feature Image

開心領獎遭爸爸講1冷言潑冷水 山東小一男童氣哭撕毀獎狀

Plastic

Plastic

Plastic

開心領獎遭爸爸講1冷言潑冷水 山東小一男童氣哭撕毀獎狀

2025年01月28日 11:00 最後更新:14:56

山東小1男童領取獎金興奮向爸爸分享喜悅,未料遭對方1句「含金量不高」潑冷水當場氣哭撕毀獎狀,有網民指:掃興的家長是孩子一生的陰霾。

影片截圖

影片截圖

男童獲得獎狀興奮不已

更多相片
影片截圖

影片截圖

影片截圖

影片截圖

影片截圖

影片截圖

影片截圖

影片截圖

綜合內媒報導,山東某小學一名1年級男童經過一學期的努力後,於近期終於獲得了獎狀。當時,他上台領獎時開心得合不攏嘴,並計劃第一時間與爸爸分享這個好消息,未料卻慘遭爸爸當場潑冷水。

影片截圖

影片截圖

男童分享喜悅遭父親冷言打擊撕毀獎狀

當天,男童爸爸來接他放學,男童迫不及待與爸爸分享自己獲得獎狀的消息。令人傻眼地是,爸爸不僅沒有表揚他,反而冷冷地回了一句「含金量不高」,因為這是全班同學幾乎都有的。這番話宛如一盆冷水澆淋在男童身上半,讓他備受打擊當場哭了出來,隨後將獲得的獎狀撕毀。

影片截圖

影片截圖

爸爸言辭激烈遭網友批評

影片曝光後,許多網友表示心疼男童,並批評男童爸爸,「他爸含金量多高?」、「這爸真掃興」、「這種爸真的是這個世界上最隨意的事情」、「孩子不被認可就已經夠難過了,為什麽那麽傷心的時候,還被家長拍下來剪成影片傳到網上...」、「家長一句話可能幫助孩子一生,也可能影響一生」。

網友分享相似經歷

也有網友分享自己小時候也曾遭遇類似情境,「小學時拿了年級總分第二,我記得我爸也說過這種話,後來不管什麽獎狀我都沒帶回家過」、「真的可以記一輩子,我考第一回家,我爸1句你在你們學校是第一,在別的學校可不一定是,聽到瞬間心情爆炸」。

影片截圖

影片截圖

溫和鼓勵更能促進孩子成長

雖然有部分人認為男童爸爸說的是事實,但應該以更溫和鼓勵的方式去表達,畢竟孩子的情感和自尊心遠比「含金量」更重要,諸如可以說:「不錯,你付出努力拿到獎狀,但我相信你可以更好」。這種表達不僅能夠讓孩子被肯定,還能激勵他繼續努力。相反,男童爸爸一開始就強調「含金量」,可能會使孩子覺得自己的努力毫無價值,進而產生自我懷疑。

墨西哥一名女子咳嗽1個月未見好轉求醫,遭揭鼻環誤入肺部距主動脈僅0.5毫米險致命,經歷兩次手術才驚險救回一命。

女子咳嗽1個月未見好轉求醫揭鼻環誤入肺部僅距主動脈0.5毫米險死。TikTok圖片

女子咳嗽1個月未見好轉求醫揭鼻環誤入肺部僅距主動脈0.5毫米險死。TikTok圖片

女子咳嗽求醫揭鼻環卡入肺部近主動脈

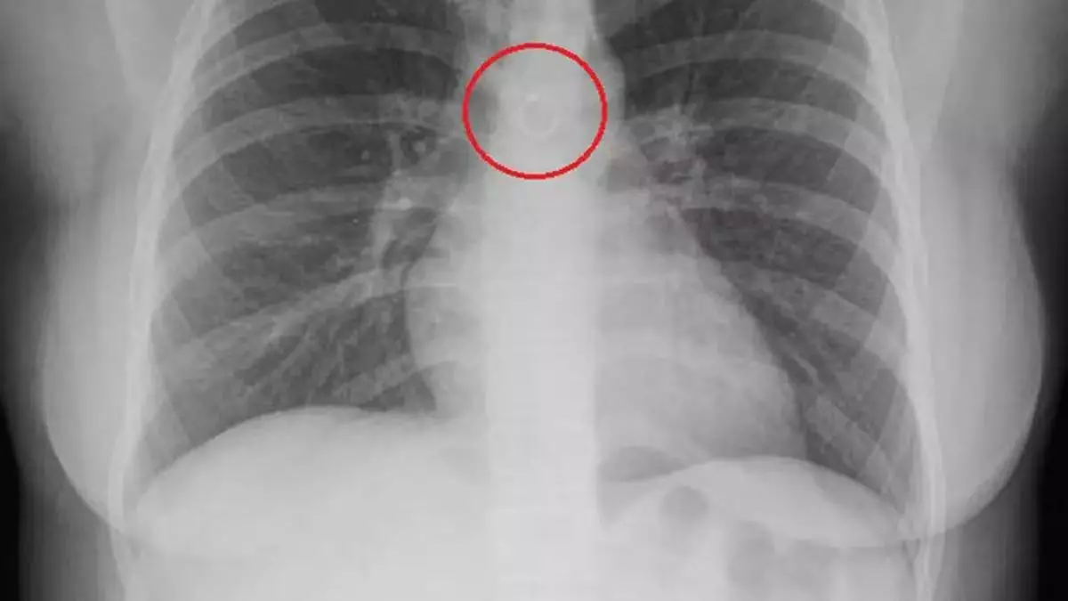
綜合外媒報導,墨西哥一名26歲女子巴拉哈斯(Monica Deyanira Cabrera Barajas)早前因持續咳嗽逾1個月未見好轉,遂前往醫院檢查。原以為只是普通小病,結果經X光檢查後發現,她的鼻環竟卡入肺部位置,甚至距離主動脈僅約0.5毫米,險些造成致命後果。

女子咳嗽1個月未見好轉求醫揭鼻環誤入肺部僅距主動脈0.5毫米險死。TikTok圖片

女子咳嗽1個月未見好轉求醫揭鼻環誤入肺部僅距主動脈0.5毫米險死。TikTok圖片

鼻環緊貼主動脈 誤吸入肺部恐致嚴重併發症

醫生透過影像檢查發現,巴拉哈斯的肺部內竟有一枚金屬鼻環,且緊貼主動脈,若位置稍有變動,隨時可能刺穿肺部或血管,引發氣胸或大量出血死亡。巴拉哈斯事後於TikTok分享自身經歷表示,起初並未察覺鼻環遺失,更未想到會被「吸入體內」,推測或因睡眠期間不慎令鼻環脫落並誤吸入呼吸道,最終進入肺部。

女子咳嗽1個月未見好轉求醫揭鼻環誤入肺部僅距主動脈0.5毫米險死。TikTok圖片

女子咳嗽1個月未見好轉求醫揭鼻環誤入肺部僅距主動脈0.5毫米險死。TikTok圖片

兩度手術終成功取出異物 醫生指僅屬僥倖保命

醫療團隊隨即安排手術取出異物,原定約20分鐘完成的手術,最終延長至約90分鐘仍未成功。醫生指出,由於鼻環已嵌入部分組織,增加取出難度,導致首次手術失敗。院方之後又安排第二次手術,最終成功移除異物。主診醫生表示,患者能保住性命實屬非常幸運,因為一旦鼻環位置稍有偏移,後果將截然不同。

女子咳嗽1個月未見好轉求醫揭鼻環誤入肺部僅距主動脈0.5毫米險死。TikTok圖片

女子咳嗽1個月未見好轉求醫揭鼻環誤入肺部僅距主動脈0.5毫米險死。TikTok圖片

親述驚魂經歷 女子稱將不再佩戴鼻環

經歷今次驚險事件後,巴拉哈斯表示以後再也不敢戴鼻環了。她坦言自己雖然一直喜歡穿環文化,但今次經歷令她心生畏懼,「我很喜歡鼻中隔穿環,但經歷這一切後,我絕對不會再打鼻環了」。

你 或 有 興 趣 的 文 章