Skip to Content Facebook Feature Image

腦退化年輕化!19歲男患阿茲海默症全球最年輕 10警訊需留意

腦退化年輕化!19歲男患阿茲海默症全球最年輕 10警訊需留意

腦退化年輕化!19歲男患阿茲海默症全球最年輕 10警訊需留意

2023年02月15日 17:00

年輕人也會患腦退化症?

內地一名19歲男子讀高中時有學習困難,記憶逐漸衰退,甚至忘記有否吃飯,確診為阿茲海默症(認知障礙症/腦退化症的一種),成為目前全球已知最年輕的認知障礙症患者。本港衞生署指,認知障礙症主要分3類型,若出現10大警告訊號,例如對時間及方位感到混亂等。

更多相片
非當事人(Getty示意圖)

非當事人(Getty示意圖)

非當事人(Getty示意圖)

非當事人(Getty示意圖)

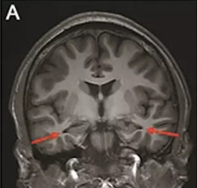
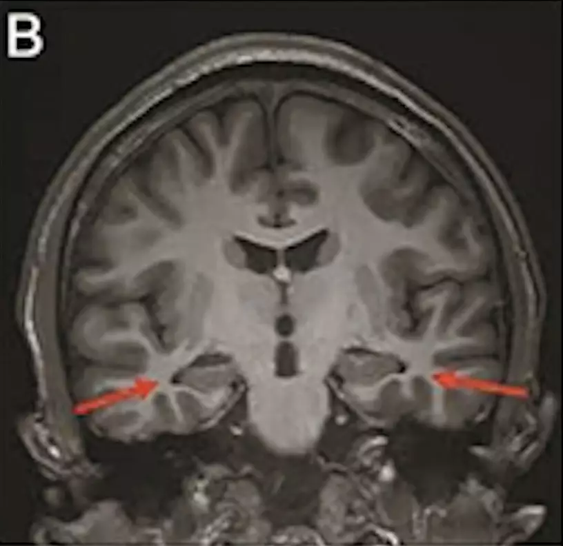
19歲阿茲海默症(認知障礙症/腦退化症)男子腦部掃描結果(圖片來源:北京青年報)

19歲阿茲海默症(認知障礙症/腦退化症)男子腦部掃描結果(圖片來源:北京青年報)

19歲阿茲海默症(認知障礙症/腦退化症)男子腦部掃描結果(圖片來源:北京青年報)

19歲阿茲海默症(認知障礙症/腦退化症)男子腦部掃描結果(圖片來源:北京青年報)

19歲阿茲海默症(認知障礙症/腦退化症)男子腦部掃描結果(圖片來源:北京青年報)

19歲阿茲海默症(認知障礙症/腦退化症)男子腦部掃描結果(圖片來源:北京青年報)

19歲阿茲海默症(認知障礙症/腦退化症)男子腦部掃描結果(圖片來源:北京青年報)

19歲阿茲海默症(認知障礙症/腦退化症)男子腦部掃描結果(圖片來源:北京青年報)

19歲阿茲海默症(認知障礙症/腦退化症)男子腦部掃描結果(圖片來源:北京青年報)

19歲阿茲海默症(認知障礙症/腦退化症)男子腦部掃描結果(圖片來源:北京青年報)

unsplash圖片

unsplash圖片

unsplash圖片

unsplash圖片

非當事人(Getty示意圖)

非當事人(Getty示意圖)

19歲患阿茲海默症 頭沒損傷沒家族史 

綜合內地媒體報道,中國首都醫科大學宣武醫院賈建平醫生團隊在《阿茲海默症期刊》(Journal of Alzheimer's Disease)發表論文指,該名19歲男子發育正常,過往沒有任何精神心理疾病、頭部損傷或家族病史。

非當事人(Getty示意圖)

非當事人(Getty示意圖)

2年間記憶衰退 忘記有否吃飯

2年前,他讀高中時因難以集中,影響學習;1年前,他開始出現短期失憶,例如會難以記起前一日發生的事情,或擺放個人物品的位置等,同時亦出現閱讀和反應障礙。其後,他情況惡化,記憶力每況愈下,開始連有否吃飯亦記不起,無法完成學業,最終被迫退學,不過仍有獨立生活能力。

最年輕的19歲阿茲海默症男子腦部掃描結果:

19歲阿茲海默症(認知障礙症/腦退化症)男子腦部掃描結果(圖片來源:北京青年報)

19歲阿茲海默症(認知障礙症/腦退化症)男子腦部掃描結果(圖片來源:北京青年報)

19歲阿茲海默症(認知障礙症/腦退化症)男子腦部掃描結果(圖片來源:北京青年報)

19歲阿茲海默症(認知障礙症/腦退化症)男子腦部掃描結果(圖片來源:北京青年報)

19歲阿茲海默症(認知障礙症/腦退化症)男子腦部掃描結果(圖片來源:北京青年報)

19歲阿茲海默症(認知障礙症/腦退化症)男子腦部掃描結果(圖片來源:北京青年報)

19歲阿茲海默症(認知障礙症/腦退化症)男子腦部掃描結果(圖片來源:北京青年報)

19歲阿茲海默症(認知障礙症/腦退化症)男子腦部掃描結果(圖片來源:北京青年報)

19歲阿茲海默症(認知障礙症/腦退化症)男子腦部掃描結果(圖片來源:北京青年報)

19歲阿茲海默症(認知障礙症/腦退化症)男子腦部掃描結果(圖片來源:北京青年報)

19歲患阿茲海默症 全球最年輕患者

該名19歲男子到醫院接受多項檢查,包括腦脊液指標檢測及正電子掃描。結果顯示,他出現輕度腦萎縮等症狀,最終被臨床診斷為「阿茲海默症」。

在此之前,全球被診斷患上阿茲海默症的患者,最年輕的僅為21歲,屬基因病變。不過,上述個案的19歲男子並無任何相關的基因病變,令醫生難以置信。

賈建平醫生指,早期發現的阿茲海默症患者可能只有零星幾過,有不常見的相關基因突變,所以這個病例進一步了解阿茲海默症的發病原理,有著巨大意義。

認知障礙症/腦退化分3類 阿兹海默病最常見

根據本港衞生署資料,認知障礙症「前稱老人癡呆症/腦退化症」,是大腦神經細胞病變,引致腦部功能不正常地衰退的病患之統稱;也是一種因腦部功能喪失而出現的疾病,它會影響記憶、思維、語言、判斷能力、行為及性格。

unsplash圖片

unsplash圖片

患者的記憶力及其他認知功能(例如學習、理解、語言運用、方向感及判斷力等)會逐漸失去﹔有些病人也會有抑鬱、幻覺或人格改變的病徵。

病因可分為以下幾類:

1.阿兹海默病 - 最常見類型,佔香港長者病例約65%

2.血管性認知障礙症 - 第二常見類型,佔香港長者病例約30%

3.其他(柏金遜病型認知障礙症、甲狀腺機能衰退及維他命B12缺乏等)

小心認知障礙症10大警告訊號

衞生署指,若出現以下情況,或是患認知障礙症的警告訊號:

1.喪失記憶以致影響日常生活

2.處理事情和解決問題的能力下降

3.對執行熟悉的工作感到困難

4.對時間及方位感到混亂

5.對視覺影像及空間關係的理解有困難

6.說話或書寫選字表達有困難

7.隨處亂放物件及不能回顧擺放過程

8.判斷力衰退

9.失去工作或社交活動的熱誠和主動性

10.情緒或個性改變

認知障礙症病情發展及症狀

衞生署指,認知障礙症(腦退化症)病情發展分3個階段,徵狀如下:

早期:變得健忘,尤其是忘記剛發生的事情,做複雜家務時有困難,情緒可能改變,包括感到抑鬱和焦慮。

中期:變得更加健忘,尤其是近期事件和人名溝通(說話和理解)愈來愈困難。在沒有相當支援下
無法獨自安全生活,漫無目的地徘徊、反覆提問等。

晚期:無法認辨親友、大小便失禁,行為可能變得更加異常,包括襲擊他人和焦燥舉動。

unsplash圖片

unsplash圖片

台灣護理師指家庭刷牙習慣暗藏健康隱憂,牙刷共置與共用牙膏恐增感染風險。

台灣護理師指牙刷共置與共用牙膏恐增感染風險。資料圖片

台灣護理師指牙刷共置與共用牙膏恐增感染風險。資料圖片

牙刷共置易滋生細菌

許多家庭存在「共用牙膏」及將牙刷放在同一容器的習慣,惟此舉看似方便,卻可能暗藏健康風險。台灣林口長庚醫院臨床毒物科護理師譚敦慈在節目《祝你健康》指出,若牙刷置於同一容器內,刷毛容易互相接觸,加上潮濕環境利於細菌繁殖,易造成交互感染。

台灣護理師指牙刷共置與共用牙膏恐增感染風險。資料圖片

台灣護理師指牙刷共置與共用牙膏恐增感染風險。資料圖片

共用牙膏可能成為細菌「轉運站」

此外,許多家庭「共用牙膏」更存在潛在健康風險。牙膏管口可能成為細菌的「轉運站」,每位家庭成員的牙刷反覆接觸牙膏口,均可能導致交互感染。若家中有人感染與胃癌相關的幽門螺旋桿菌,透過牙膏接觸也可能增加傳播機會,進而影響口腔及消化系統健康。

台灣護理師指牙刷共置與共用牙膏恐增感染風險。資料圖片

台灣護理師指牙刷共置與共用牙膏恐增感染風險。資料圖片

幽門螺旋桿菌可能存在唾液與牙菌斑中

譚敦慈特別提醒,與胃癌高度相關的致病菌幽門螺旋桿菌,除存在於胃部外,也可能出現在唾液及牙菌斑中。若家庭成員有人感染此菌,共用牙膏或牙刷擺放不當,都可能提升傳播機率,增加其他人感染風險。

台灣護理師指牙刷共置與共用牙膏恐增感染風險。資料圖片

台灣護理師指牙刷共置與共用牙膏恐增感染風險。資料圖片

牙刷晾乾及電動牙刷清潔的重要性

譚敦慈也分享個人習慣指自己每次使用牙刷後,會將牙刷逐支放於架上晾乾;對於近年常用的電動牙刷,刷頭應定期拆卸清潔並充分乾燥,否則長期不拆開,內部潮濕易滋生黴菌,甚至出現黑色黴斑。若持續使用,這些微生物可能隨刷牙過程進入口腔,反而影響健康。

你 或 有 興 趣 的 文 章