Skip to Content Facebook Feature Image

官方回應足球場被用於趕集:春節臨時使用 損壞已修復

博客文章

官方回應足球場被用於趕集:春節臨時使用 損壞已修復
博客文章

博客文章

官方回應足球場被用於趕集:春節臨時使用 損壞已修復

2021年02月21日 17:45

(卞立群)20日,一則貴州省都勻市某足球場被用於趕集而遭到損壞的消息引髮網友熱議。對此,都勻市文體廣電和旅遊局在20日晚回應稱,為滿足春節期間群眾趕集需要,因此將此區域有限制地臨時作為趕集區域,目前該足球場內破損的人工草坪已修繕完畢,並明確不再將該區域作為趕集區域。

有網友20日通過社交平台表示,都勻市一座專業足球場被用於趕集。從網上流傳的視頻和照片看,球場上搭建了不少售賣商品的棚子,場地也有一定程度的破損。

更多相片

對此,不少網友表示不解:「我們踢球找不到球場或者球場貴,你們拿來趕集!中國足球會有希望?」、「中國足球踢不好,這類事情才是根本原因。」

官方回應足球場被用於趕集:春節臨時使用 損壞已修復
官方回應足球場被用於趕集:春節臨時使用 損壞已修復
 

社交媒體截圖

針對外界質疑,都勻市文體廣電和旅遊局20日晚發佈公告回應稱:「足球場所在的毛尖鎮群眾在春節前後有趕集習慣,為緩解疫情期間農貿市場人員密集壓力,滿足春節期間群眾趕集需要,因此將此區域有限制地臨時作為趕集區域。」

官方回應足球場被用於趕集:春節臨時使用 損壞已修復
 

趕集棚子被撤掉後的球場。都勻市文體廣電和旅遊局供圖

公告還稱,目前該足球場內破損的人工草坪已修繕完畢,並明確不再將該區域作為趕集區域,做到專場專用。

官方回應足球場被用於趕集:春節臨時使用 損壞已修復
 

官方回應截圖

中新網記者從都勻市文體廣電和旅遊局相關人士處了解到,該球場為列入貴州省公共體育普及工程2020年第一批中央預算投資計劃建設的五人制足球場,於去年10月建成,今年1月投入使用後向民眾免費開放。(完)




神州快訊

** 博客文章文責自負,不代表本公司立場 **

低頭玩手機早已成為常態

但你知道嗎

長此以往

相當於脖子負重50斤

嚴重甚至會導致腦脊液外漏

今年春節期間

江蘇省中西醫結合醫院門診

接診量排名第一的是骨傷科

醫生表示

患者們大多是

因為坐姿、睡姿有誤

或長期低頭玩手機等

導致脊椎錯位

引起各處疼痛

從長遠看,頸椎長時間受壓迫會影響到周邊的神經 ,繼發其他一系列不適——

胸椎痛 。頸部大部分肌肉連接在肩胛骨上,肩胛骨又被肌肉連接在胸椎上,一旦頸椎受傷,自然會波及到胸椎。

肩臂僵硬 。低頭時會牽連背闊肌,使其壓力增加,出現肩背、肩臂僵硬酸痛等問題。

頭暈、頭痛 。這也是最有明顯感覺的一個,頸椎長期受壓,會出現頸椎失穩,極易壓迫周圍椎動脈或交感神經,這也是頸椎病患者為何會經常頭痛、頭暈的原因。

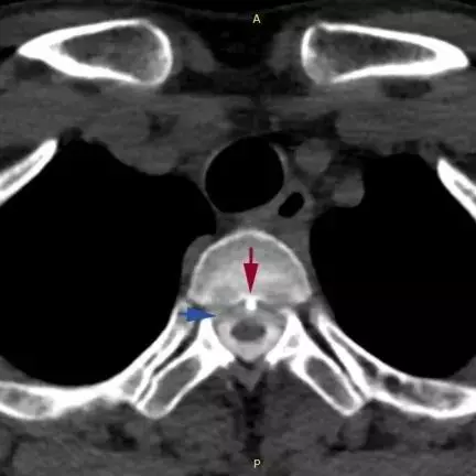
宋先生的脊柱磁共振檢查

可見第2、3胸椎之間有「骨刺」形成(紅箭頭)

刺破硬脊髓膜,造成腦脊液外漏(藍箭頭)

江女士的脊柱磁共振檢查

可見第1、2胸椎之間有「骨刺」形成(紅箭頭)

刺破硬脊髓膜,造成腦脊液外漏(藍箭頭)

警惕腦脊液外漏、脊柱退變

此前,浙江大學醫學院附屬邵逸夫醫院神經內科曾接連接診了兩個年輕的「低頭族」,長時間低頭用電腦、玩手機 而頭痛難忍。經醫院檢查顯示,患者頸段椎間盤退變 ,形成骨刺並刺破了硬脊髓膜 ,造成了脊髓腦脊液滲漏 ,顱內壓力過低還造成了腦膜血管撕裂和硬膜下出血。

骨刺刺破硬脊膜,導致腦脊液外漏的示意圖

低頭族、久坐族當心

越來越多年輕人開始脊柱退變

脊柱退變與年齡、生活習慣相關,一般以中老年患者居多,但近年來患者明顯年輕化。檢查發現,20-30歲年輕患者也有多節段椎間盤突出伴骨刺形成。

詢問平時的生活習慣,多是屏幕操作時間長的「低頭族」,久坐不愛運動。

脊柱退變嚴重時造成頸椎病、腰椎病,會表現為頸肩腰部疼痛、肢體麻木無力等神經壓迫癥狀。 我們發現的病例的脊柱退變雖然沒有這些嚴重的壓迫癥狀,但形成的小骨刺還是可以穿破脊髓膜,造成腦脊液外漏的嚴重後果。

改變手機不離手的習慣

對於普通人群,如果需要長時間低頭伏案工作,建議適當調整姿勢,比如用手機支架或把電腦抬高。如果不得不低頭工作,建議要在低頭半小時後,起來適當活動。平時養成規律鍛煉的習慣,每周2至3次有氧運動能夠舒緩肌肉疲勞改善代謝,增加脊柱肌群抗壓能力,從而延緩脊柱的勞損退變。

假期的你每天玩多長時間手機?

這有一套「手機屏幕使用時間等級測試」

看看你是

「小小眼睛有大大疑惑」的“衝浪絕緣體”?

是滴眼藥水也要玩手機的「拚命三郎」?

還是為APP設使用時限的自律者?

戳圖自測↓↓

你在第幾級?